En otro artículo hablábamos de la fascitis plantar que definíamos como una sobrecarga mantenida en el tiempo sobre la fascia plantar. Hacíamos un pequeño recorrido por los síntomas para ayudar a reconocer si sufrimos una fascitis plantar. En el artículo de hoy hablamos del diagnóstico y el tratamiento de la fascitis plantar. El primero emprezará con un examen físico y podría terminar con una radiografía para descartar otras dolencias más graves. También hablaremos del tratamiento a seguir para curar la fascitis plantar.
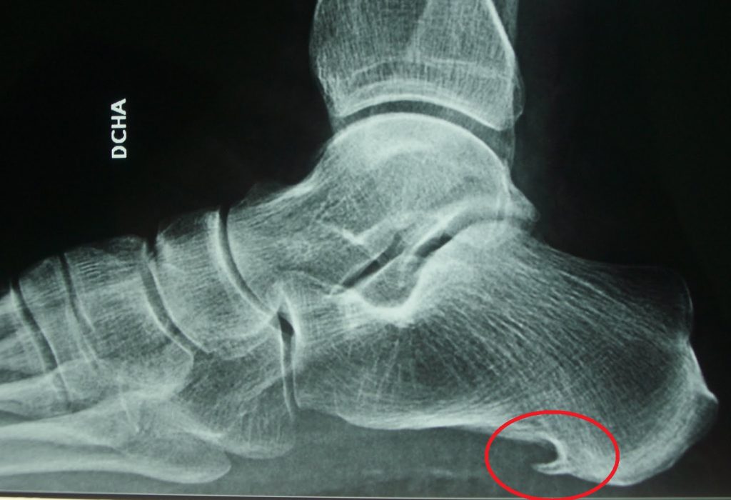
En primer lugar, se realiza un examen físico del pie del paciente que, si sufre una fascitis plantar, evidenciará hinchazón, enrojecimiento de la zona y sensibilidad a la presión en el talón. En algunas ocasiones, si el dolor es muy intenso, podemos solicitar una ecografía para descartar una microrotura o rotura parcial de la fascia plantar. Si se solicitan radiografías se pueden ver en algunos casos la presencia de espolón pudiendo observarse también fascitis plantar. En cualquier caso, existen individuos que presentan fascitis plantar y no se visualiza ningún espolón calcáneo en su radiografía.
Tratamiento de la fascitis plantar
Para un correcto tratamiento de la fascitis plantar podría decirse, sin lugar a dudas, que la combinación sería: plantillas, un correcto calzado y fisioterapia, sin una de estas tres cosas es difícil recuperarse, aunque suele tardar varios meses en resolverse, por lo que se debe mantener el tratamiento hasta la remisión del dolor (al menos durante tres meses).
Además de esto, existen otras medidas que también pueden realizarse en casa:
- Poner hielo en la zona afectada, al menos dos veces al día, durante 10 o 15 minutos.
- Reposar lo máximo posible para evitar esfuerzos extras al pie.
- Emplear calzado adecuado, con una buena sujeción y amortiguación. Un zapato con el talón ligeramente elevado reduce la tensión sobre la fascia.
El tratamiento fisioterapéutico se iniciará para remitir el proceso inflamatorio y al proceso de reparación-regeneración de la fascia plantar lesionada. Generalmente es muy útil el uso de vendajes neuromusculares o funcionales o Mc Conell.
Cuando el dolor empieza a disminuir haremos estudios biomecánicos de la marcha y/o del gesto deportivo para la confección de soportes plantares a medida que corregirán anomalías estructurales y pueden aumentar o disminuir momentos de presión lesivos sobre la fascia del pie.
En ocasiones, no se trata de forma efectiva esta lesión y puede ocurrir que se mantenga mucho tiempo, entonces ya no hablaríamos de una lesión aguda y pasaría a ser una lesión crónica a la que denominamos fasciosis plantar. El tratamiento de esta entidad sería diferente a la fascitis plantar porque habría que destruir el tejido fibrosado que hay en la fascia plantar y llevar el proceso a una nueva lesión aguda. Durante este proceso se utilizan técnicas como EPI (electrolisis percutánea intratisular), ondas de choque o Técnica del Topaz. En estos procesos de fasciosis plantar también podemos recurrir a las férulas nocturnas que se emplean para estirar la fascia plantar durante la noche permitiéndola sanar. Y, por último, podría utilizarse la cirugía en los casos más graves. Este procedimiento se requiere en muy pocas ocasiones, y consiste en desprender la fascia del talón.

